宝宝牙龈上长脓包是什么
  • 发布人:admin3
  • 时间:2021-09-06
  • 点击:5140
  • 来源:盐城妇幼保健院

宝宝牙龈上长脓包是什么?

 

 

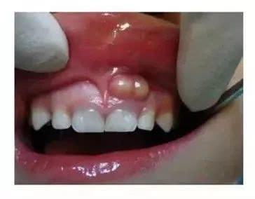
医生,我宝宝牙龈上长了个脓包,刺破了过几天又长出来了,怎么回事?(这是儿童口腔门诊医生经常被问到的问题)。

脓包是一个通道的出口,连接这个出口的通道又称为窦道,而这开口可以在口腔内的牙龈上、也可以在口腔外面脸部周围的皮肤上。脓包多为球状,是感染以及炎症的反应,脓液在密闭的空间里,当脓液增多时,脓包会越积越大,窦道是压力排出的孔,当压力过大时脓液向外排出,就形成窦道。

这时通常需要做牙髓处置、根管治疗,才能消除致病的因素,使窦道消失。

牙龈脓包的病因到底是什么呢?

这些感染源多数是与牙齿相关的、少部分是牙齿以外的病因。

与牙齿相关的病因:牙髓发炎、坏死、牙根尖脓肿、牙周炎等。

⑴很深的蛀牙:即龋齿,⑵牙齿有裂的情况:如外伤后牙折裂,残冠折,⑶外伤造成牙齿内部损伤:牙根吸收。

 

牙齿以外为病因:骨髓炎、肿瘤、或是一些拔牙后的感染、口腔手术后的感染等。

当宝宝的牙齿出现以下情况时,如不及时处理,持续发展下去,在牙龈上或口腔外的皮肤有可能会表现出脓包。

当以上的原因,造成牙齿内部的牙髓感染,若没有尽早处置,感染持续向牙根尖扩散,甚至跑到牙根尖外面的骨头。而牙根是埋在密闭的牙槽骨里面,一系列的发炎反应,进而让这牙根尖周围的组织像水球一样慢慢变大,就形成根尖周围发炎、有些会变成根尖脓肿甚至囊肿。因为密闭空间的水球,需要压力释放,于是就形成一个通道,开口就在牙龈上、或口腔外的皮肤上,我们称之为脓包窦道。

长脓的宝宝一般是什么症状?

IMG_256

早期 :除了在宝宝患牙处的牙龈上有脓包、窦道之外,通常不太会有不舒服、疼痛不明显,(主要是因为牙髓神经已经坏死)。家长会以为是疲劳了或受凉了,过二天就会好。

 中后期:随着疾病进展,牙齿周边骨头破坏更加严重,甚至拖累附近牙齿,这时候宝宝会在吃东西叫牙痛,牙齿松动。严重的时候,甚至不碰牙齿,也会痛。而全身性感染风险大大提高,牙槽骨也因炎症侵犯而被掏空。

部分患儿因不及时处理会引起牙周间隙的严重感染,面部肿痛,发热,甚至发生蜂窝性组织炎,危及生命。

因此,一旦发现宝宝牙龈长脓包,是一个较重要警示,一定要及时带宝宝到医院就诊。

 

            口腔科孙晓娟