- 发布人:A_dmin789
- 时间:2023-03-13
- 点击:1535
- 来源:
孕期口腔问题,准妈妈们知多少?![]()
准妈妈是容易出现口腔问题的“高危人群”。在孕期,准妈妈体内雌孕激素的水平会明显升高、身体的免疫状态和口腔菌群都会发生改变,相应地,口腔的健康状态也会发生变化。
相比于平时,准妈妈在孕期时更容易遇到牙龈肿胀、出血、发炎等问题,出现龋齿、牙周问题的几率也会更高。除了雌孕激素水平升高的影响,妊娠性呕吐会导致口腔唾液的pH值下降,一方面引起牙齿的过度酸蚀和脱矿的发生,另一方面加剧了既往的口腔疾病的发展进程。
各种各样的口腔问题,不仅让准妈妈觉得很不舒服,还可能会影响到准妈妈和宝宝的健康,因此一定要引起重视。
今天,咱们就来说一说与孕期口腔健康有关的那些事儿。
一、孕期口腔常见病

(一)准妈妈的牙周问题
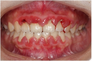
1.牙龈炎:怀孕本身并不会引起牙龈炎,但是由于怀孕后黄体酮和雌激素水平增加,原有的慢性牙龈炎或者牙周炎会加重。所以有些准妈妈会发现孕期刷牙出血增多,有时有自发性的牙龈出血,甚至有些准妈妈的牙齿出现了松动。

妊娠期牙龈炎
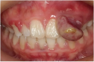
2.牙龈瘤:有些孕妇还会发现牙龈上长出了红红的鼓包(如下图),我们称之为妊娠性龈瘤,在分娩后一般会自行缩小,若仍不消退可以进行手术。
妊娠期牙龈瘤
虽然怀孕会加重牙龈的炎症,但是它并不是牙龈牙周炎的始动因素。孕期牙周问题的根本原因仍然是牙菌斑,简单说来,如果您在孕前进行了系统的洗牙和牙周治疗,并能保证良好的口腔卫生习惯。牙龈炎和牙周炎就不会在孕期困扰您了。
健康牙齿

牙周炎牙齿
(二)准妈妈的智齿问题
刚才提到了激素水平变化会让您的牙龈更容易发炎,如果您又碰巧有一颗埋伏的阻生智齿,那孕期就更容易发生智齿周围的牙龈发炎肿胀。当然,这也和孕期人体的抵抗力降低有关。
经历过智齿发炎的人一定了解其中的苦楚。如果在孕期的话,您因为担心宝宝健康不敢随意用药,又吃不下饭不能摄入充足的营养,可谓危害多多。淤积的食物残渣易造成细菌过度繁殖导致周围的牙龈和软组织出现的红肿胀痛,吞咽困难,张口受限而影响进食,严重的还可能引发面部多间隙感染,也会对胎儿健康造成影响。再次提醒打算备孕的姑娘们,一定要提前完善口腔检查及治疗,一定要在孕前把阻生智齿拔掉,以除后患,以健康的身体、灿烂的笑容迎接宝宝的到来。

(三)准妈妈患龋齿概率增大
准妈妈在怀孕期间龋齿概率增加的原因主要有以下两条,首先是孕早期有些孕吐严重的准妈妈会造成胃酸反流,使牙齿更容易被酸蚀,发生龋齿(如下图)。其次由于孕妇多进食频率较高,又往往不注意口腔清洁,使得口腔细菌容易滋生,增加龋齿概率。原有的龋齿病变也可能在孕期继续发展。如果入侵到牙髓组织,就会引起您的剧烈疼痛,严重影响生活质量。有研究显示:母亲口内存在龋齿,宝宝出生后患龋概率较其他人的概率高!若龋病严重致使牙髓病变,出现牙髓炎、根尖周炎,孕妇会出现剧烈的牙齿疼痛,严重者可能会导致宫缩而流产。
怀孕期间的口腔疾病不仅影响准妈妈们本身的健康,同时也会影响胎儿健康!如果口腔中的细菌进入血液,通过胎盘感染胎儿,可能导致出生后的婴儿体重过轻,甚至患先天性心脏病。提高准妈妈们的口腔保健观念和行为,有效的口腔保健和治疗可以减少早产及低体重儿的发生率,减少妊娠期间龋病和牙周疾病发生。
二、孕前期口腔健康小贴士
(一)孕前期口腔保健很!重!要!
为避免妊娠期各种口腔疾病发生,建议怀孕前6个月做全面口腔检查。
(二)口腔检查包括:
1.牙周基础治疗清除口内牙结石和菌斑;
2.对龋齿进行充填治疗,对有牙髓问题患牙及时根管治疗;
3.拍摄全景片查看智齿阻生情况,若有阻生齿及时拔除,避免孕期智齿冠周炎;
4.尽早拔除无法修复的残根残冠;
5.有缺失牙尽早修复,恢复咀嚼功能,促进营养吸收。
三、孕期口腔健康小贴士
(一)口腔问题要早治:
妊娠期牙龈炎、牙龈瘤、智齿冠周炎、龋齿、牙髓炎、根尖周炎都会影响孕妇进食,导致营养摄入不足,影响胎儿发育。其中牙髓炎、根尖周炎、智齿冠周炎等急性发作,容易使细菌入血,严重的会引起脓毒血症,可能增加流产及早产风险!
一旦妊娠期出现上述病症建议尽早治疗!
治疗小贴士:急性发作的疾病比如急性牙髓炎、智齿冠周炎等应先缓解急症,再选择进一步。
治疗时机:其他慢性牙病一般选择怀孕中期(4-6个月)进行保守治疗,如洁牙,补牙等。
(二)定期口腔检查:
1.每隔1~2个月到医院进行一次口腔检查,早发现早治疗。
2.孕期治疗口腔疾病的最佳时期是怀孕4~6个月时期。
(三)保持良好口腔卫生:
1.坚持饭后漱口,早晚刷牙;
2.使用牙线,清除邻面残留菌斑;
3.推荐巴氏刷牙法(如下图),每次至少3分钟。
正确的刷牙方式
我院口腔科成立于1998年,科室环境优美,布置合理,为医疗安全提供了有力的保障。目前有主任医师2名,主治医师2名,其中硕士研究生1名,科室医生均在国内知名的口腔医院进修学习过。科室开展了龋病、儿童口腔疾病的防治,孕产妇常见口腔疾病的诊治,牙齿美容,牙髓病,根尖周病的诊治,儿童及青少年各类错颌畸形的矫治,固定及活动修复各类牙齿缺失,各类牙齿的拔除等常见病、多发病的治疗。
爱牙热线:66669380
地址:盐城市妇幼保健院门诊3层西侧口腔科(世纪大道东路31号)



